加速装置(suresmile VPro)が無料

矯正期間を少しでも短くしたい方へ、ココロデンタル恵比寿では、マウスピース矯正をご希望の患者さまに、加速装置「SureSmile VPro」を無料でご提供しています。
この装置は、1日1回5〜10分間、お口に装着するだけで、特殊な微振動が歯の移動をサポートします。歯の動きを促す細胞の活性化を助け、治療期間の短縮や矯正時の痛みの軽減が期待できます。
さらに、マウスピースのフィット感向上や治療精度の向上にもつながり、より快適で効率的な矯正治療をご提供いたします。
CONTACT
恵比寿駅徒歩1分の矯正歯科「ココロデンタル恵比寿」では、
初回カウンセリング・シミュレーションまで無料で受け付けております
最終的な矯正治療後のシミュレーションを作成するまで無料
当院ではカウンセリングをはじめ、レントゲン撮影や口腔内スキャナーなど利用してデータ化した上での治療計画の立案、
治療が終わったあとの状態が確認できるシュミレーションまですべて無料で行っております。
また、患者様がご納得されてから治療を開始しますので、ご安心してぜひ一度ご相談ください。
まずはお気軽に無料矯正カウンセリングへお越しください
※西麻布院でも治療できます
マウスピース矯正に興味がある方は、まず矯正相談へお越しください
ココロデンタル恵比寿公式チャンネル

矯正に関するお役立ち情報公開中
「矯正治療はどこでやっても同じ」ではありません!
COCOLO DENTAL EBISU
ココロデンタル恵比寿が選ばれているのには理由があります。
- 01
- 初回カウンセリング~
シミュレーションまで無料

まずは患者様のお悩みやご希望を丁寧にヒアリングし、現在の歯や咬み合わせの状態をCT撮影や口腔内3Dスキャンで精密に検査します。そのうえで、SureSmileデジタルラボにデータを送り、3Dシミュレーションによる治療計画を立案します。ここまでのステップはすべて無料で行っており、シミュレーション上で治療後の歯並びをご自身で確認・納得いただいてから治療を開始できます。「どんなふうに歯並びが変わるのか不安…」という方も、事前にゴールイメージを共有できるので安心です。
- 02
- 平日21時まで&予約間隔も自由!
通いやすい柔軟対応

お仕事や育児で忙しい方でも通院しやすいよう、平日は夜21時まで診療を行っています。また完全予約制・個室対応でお待たせしません。さらに当院では患者様のご都合に合わせて通院頻度も柔軟に設定可能です。通常は毎月1回程度の来院が望ましい矯正治療ですが、遠方にお住まい・出張が多いなど定期通院が難しい場合は2~3か月に一度のペースでも対応できます。来院毎に複数枚のマウスピースをお渡しすることで、少ない通院回数でも治療を継続できる体制を整えています。忙しいビジネスパーソンや子育て中の方にも継続しやすい環境です。
- 03
- 完全個室のプライベート空間&
丁寧なカウンセリング

患者様にリラックスして治療を受けていただくため、当院は診療ユニットごとに完全個室を完備しています。人目を気にせず相談できる空間で、プライバシーにも配慮しています。また初回カウンセリングから治療中まで担当医が一貫して対応し、丁寧にコミュニケーションをとることをお約束します。「患者様一人ひとりに寄り添った安心の治療・おもてなし」を提供するのが私たちの理念です。院長の小林も「親身なカウンセリングで、ご希望に沿った最適なプランをご提案します」と述べている通り、不安や疑問にとことん向き合う姿勢を大切にしています。
- 04
- 新式デジタル技術
「SureSmile」
で精密・安全な治療

当院が採用するSureSmile(シュアスマイル)は、アメリカのデンツプライシロナ社が提供する最新のデジタル矯正システムです。このシステム最大の特長は、歯だけでなく歯根や顎の骨を含めて3次元で治療計画を立案できる点にあります。CTデータを活用した精密シミュレーションにより、複雑な歯の動きも正確にコントロール可能です。従来は困難だったケースにも対応でき、治療精度が格段に向上しています。さらにSureSmile専用のマウスピースは、歯ぐきの縁まで覆う独自形状でフィット感が高く、歯を動かす効率が良い設計です。この工夫により、痛みも少なく歯への負担を抑えた矯正が可能になっています。経験豊富な理事長による高精度かつ安全な治療で、患者様の理想の歯並びへとスピーディーに近づけます。
- 05
- 豊富な症例実績&包括的な
歯科治療が可能

当院はこれまで多数の矯正治療症例を手がけており、マウスピース矯正の実績が豊富です。難しいケースではマウスピースと部分的なワイヤー矯正を組み合わせるなど、培ったノウハウで柔軟に対応します。また当院は一般歯科・審美歯科も併設する総合歯科医院の強みを活かし、虫歯治療やホワイトニングなども矯正と並行して行えます。矯正中にもし虫歯が見つかってもすぐ治療可能ですし、装置が外れるタイミングでホワイトニングを受けていただくこともできます。「矯正しながらトータルな口元の美と健康を追求できる」のが当院の強みです。治療中も患者様の生活クオリティを損なわないようサポートします。
- 06
- 精密診断を快適に、
口腔内スキャナー導入


当院では、シロナの口腔内スキャナー「Primescan(プライムスキャン)」を導入しています。
光学スキャンでお口を短時間で読み取り、高精細3Dデータを取得。
粘土の型取りが苦手な方でも負担が少なく、撮影直後にモニターで状態を共有できます。
取得データはSureSmileと連携し、ズレの少ない設計・適合の向上に役立つため、アライナー作製までの流れがスムーズに進みやすくなります。
- 07
- 分かりやすい料金設定&
充実の支払いプラン

初回相談・検査・診断料は0円、治療が始まるまで費用は一切かかりません。肝心のマウスピース矯正治療費も総額〇〇円(税込)※~と明確に提示し、追加費用は基本かかりません(症例により変動。分割払いOK)。当院ではデンタルローンを利用した分割払い(月々7,000円~)にも対応していますので、一括での負担が難しい方も安心です。現金・各種クレジットカード・電子マネーなどお支払い方法も豊富にご用意しています。また年間医療費が一定額を超えた場合の医療費控除についてもご案内可能です。費用面の不安はカウンセリング時に遠慮なくご相談ください。
CONCEPT
デジタル精密矯正
通いやすさ
思いやりのカウンセリング
矯正治療は決して安価な治療ではありません。
だからこそ、ココロデンタル恵比寿では、単なる“見た目の改善”にとどまらず、
歯並び・口元の美しさはもちろん、噛み合わせや機能性のバランスまで含めた治療を追求しています。
ココロデンタル恵比寿では、CT・3Dスキャナー・SureSmile(シュアスマイル)などの先進設備と、
これまで積み重ねてきた知識と臨床経験をもとに、一人ひとりに合わせた最善の矯正治療を丁寧にご提案いたします。
「安心して任せられる」「ここで治療してよかった」
そう思っていただけるよう、医療としての価値と、患者様への誠実な対応を大切にしています。
恵比寿で矯正歯科をお探しなら「ココロデンタル恵比寿」へ、どうぞお気軽にご相談ください。
TROUBLE
こんなお悩みありませんか?
- 歯並びがガタガタで、見た目が気になる
- 前歯や下あごが出ているのがコンプレックス
- すきっ歯や噛み合わせのズレが気になる
- 笑うときに口元を隠してしまう
- 周囲に気づかれずに歯並びを整えたい
- ワイヤー矯正の見た目に抵抗がある
- 矯正治療に興味はあるが、痛みが不安
- 食事中の違和感や会話のしづらさが心配
- 金属アレルギーがあり、矯正装置が不安
- 定期的な通院が難しく、
時間の融通を効かせたい - 費用面が心配で、分割払いなどを相談したい
- 他院で抜歯が必要と言われたが、
別の提案も聞いてみたい
![]()
![]()
![]()
![]()
![]()
![]()
![]()
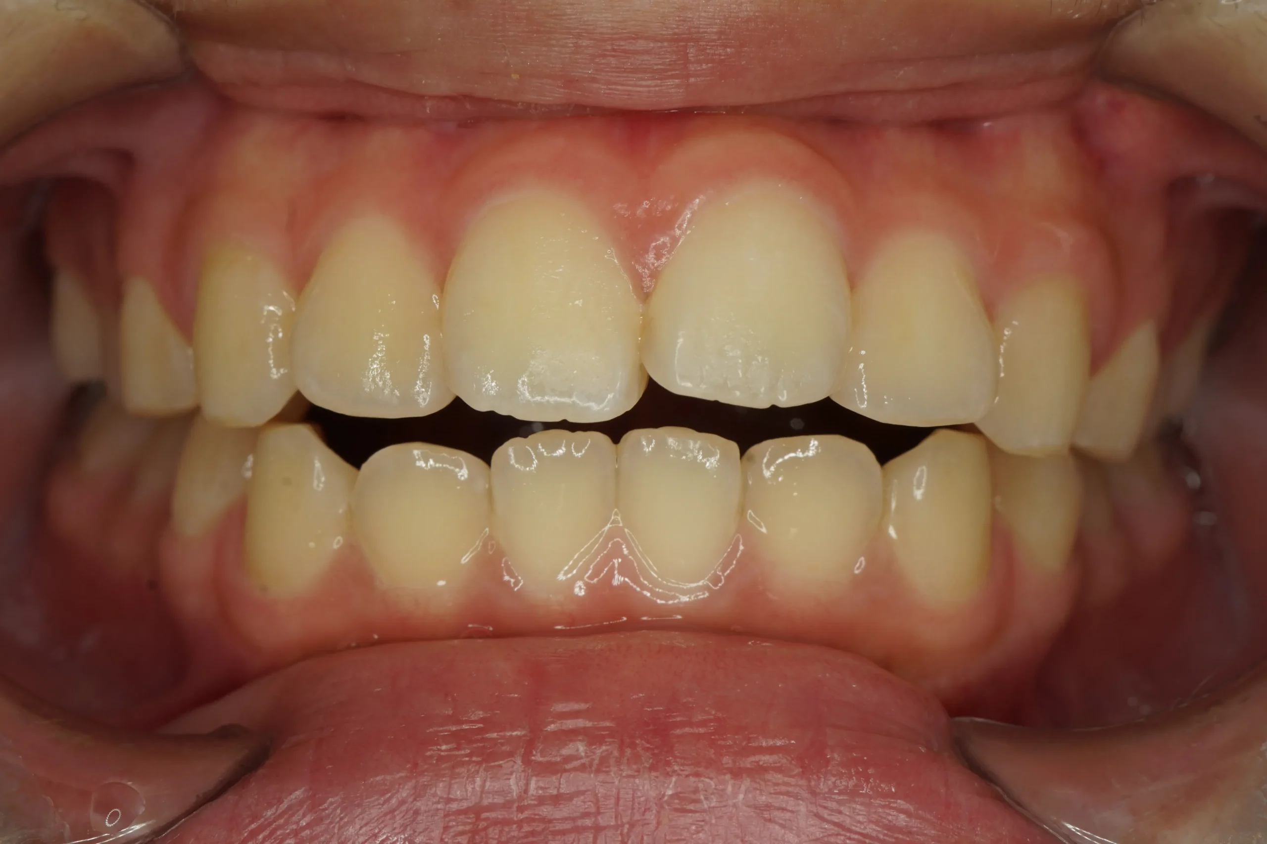
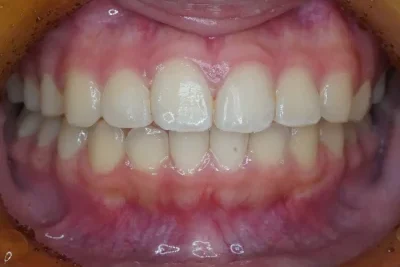
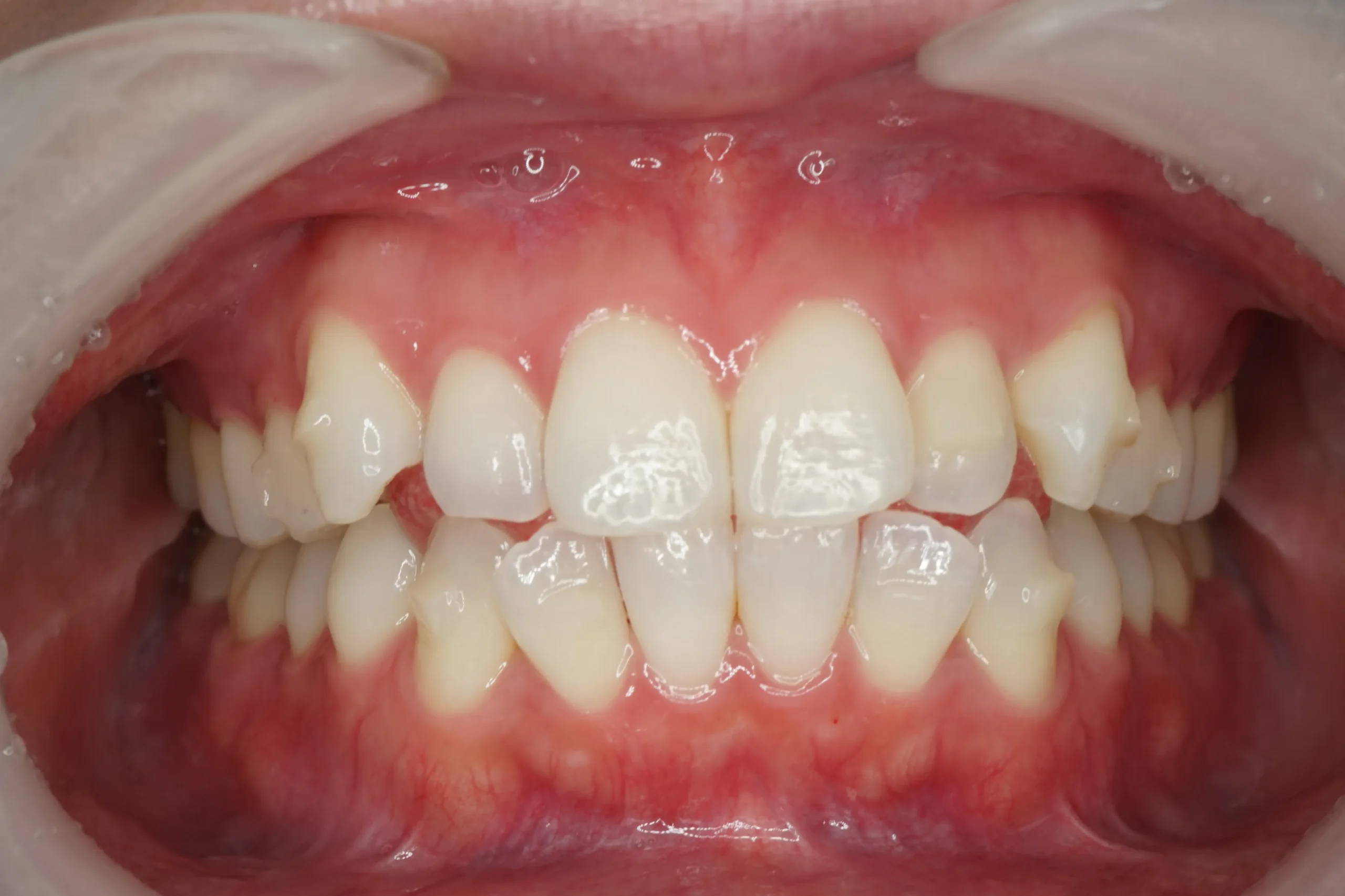
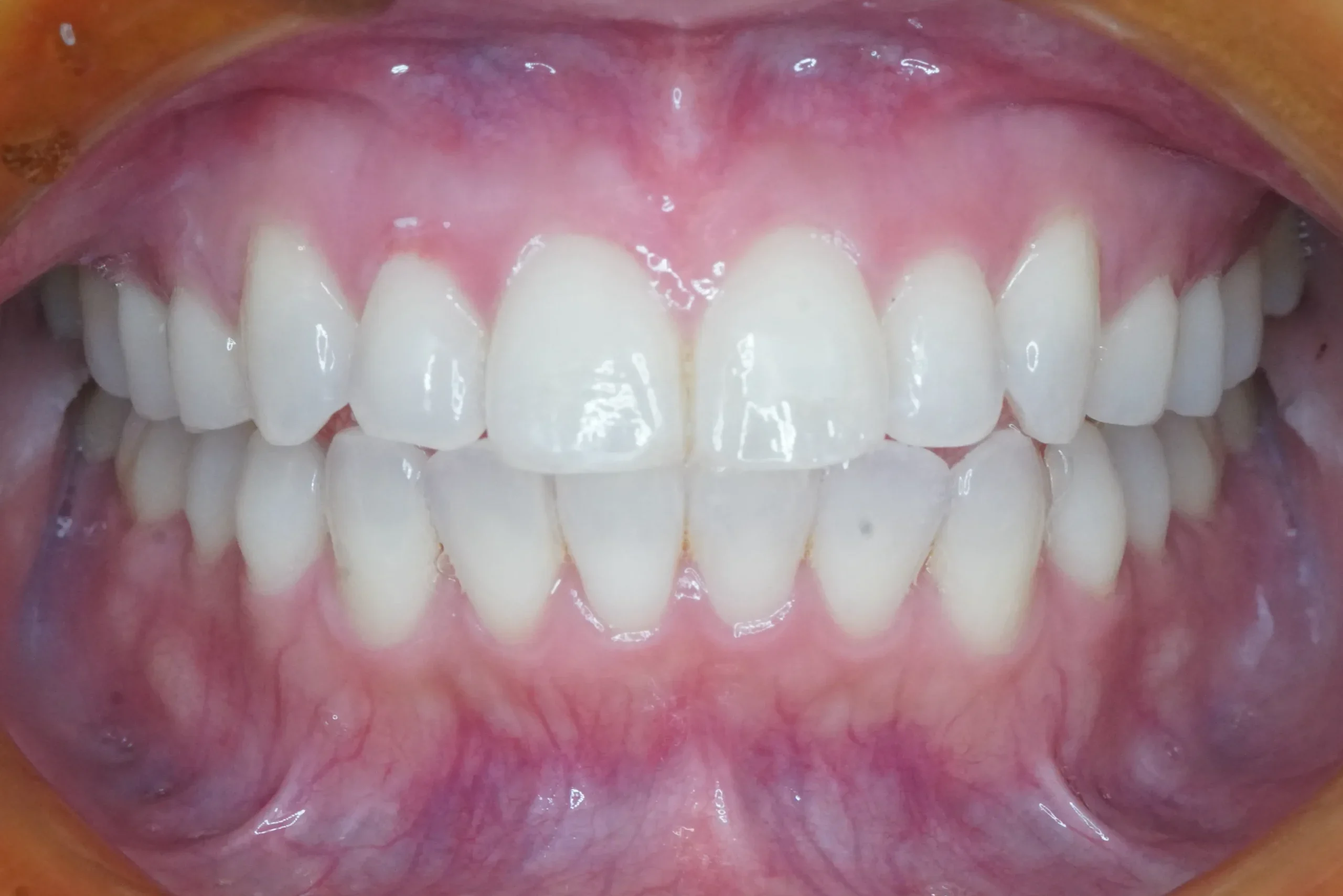
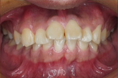
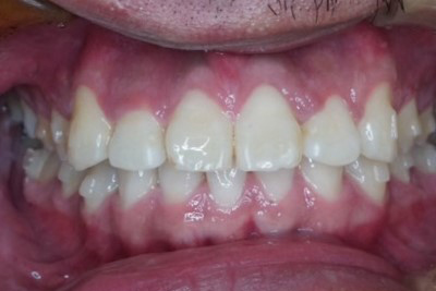
CASE
症例のご紹介
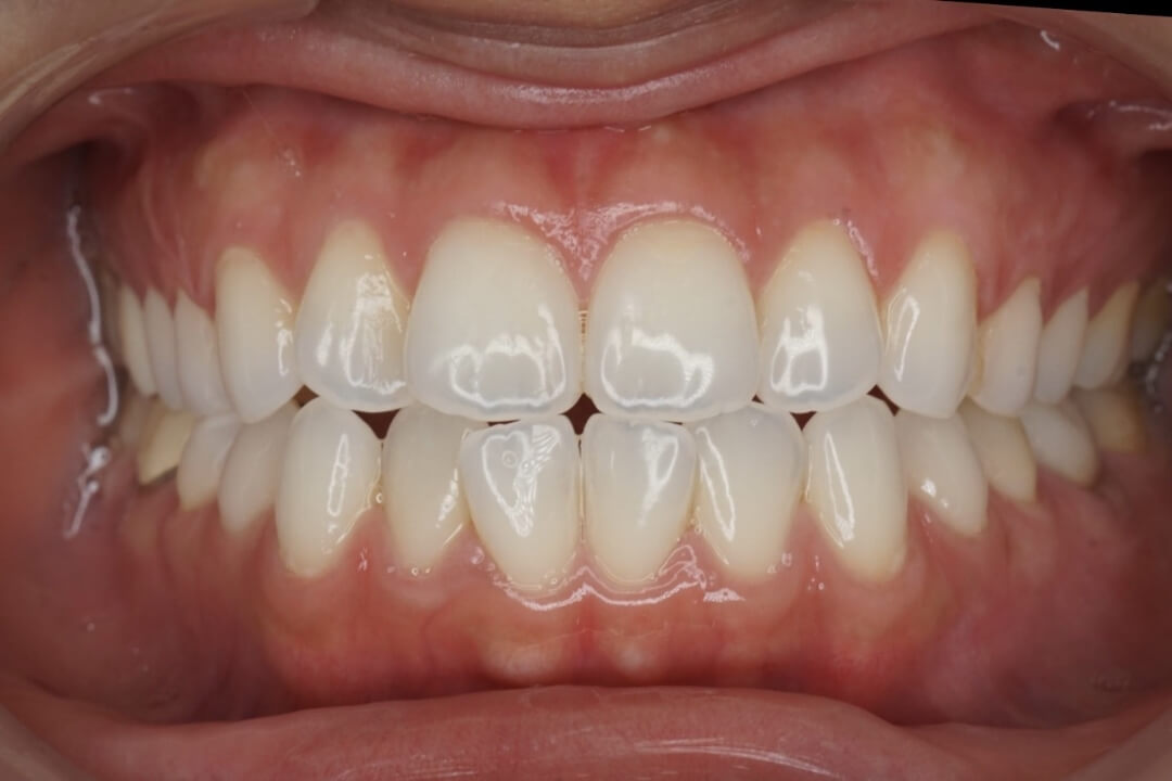
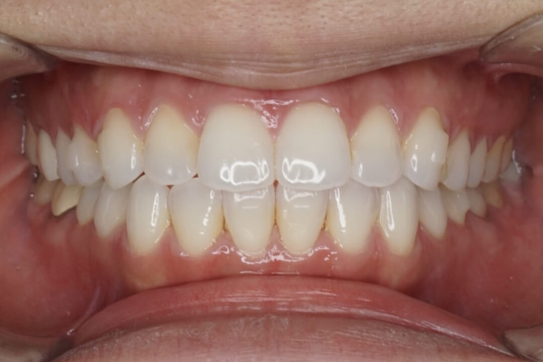
CASE 1下顎が出ている
Before

After

- 治療回数
・期間 - 30代 女性
- 執刀医
- Dr.小林
- 治療内容
- マウスピース矯正、データ採取、マウスピースの装着、経過のチェック、リテーナーの装着
- 治療回数
・期間 - 15回・1年ほど
- 費用
- ¥550,000〜¥660,000
- 治療に対する
リスク - 保険適用外の自由診療です。効果や感じ方には個人差があります。1日20時間以上の装着が必須です。矯正治療は新しいマウスピース交換時に痛みがでることもあります。矯正治療は必ず後戻りするためリテーナーが必要になります。
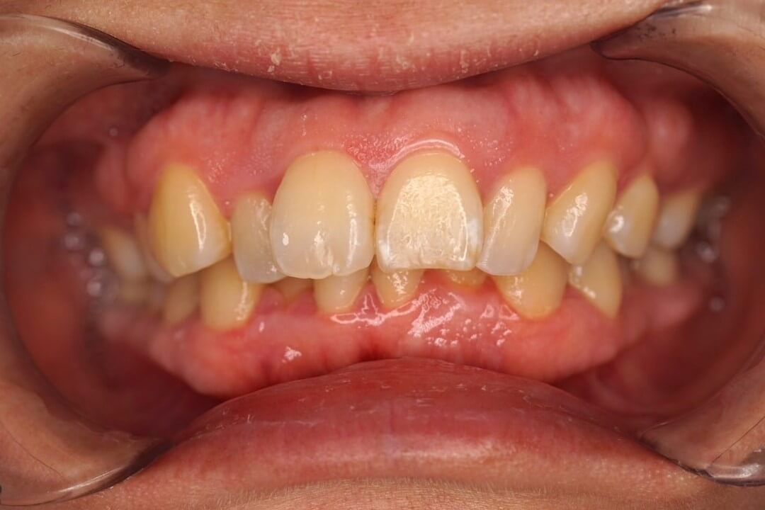
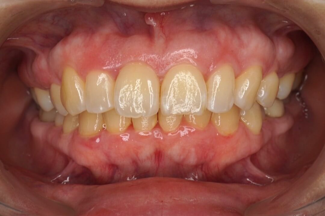
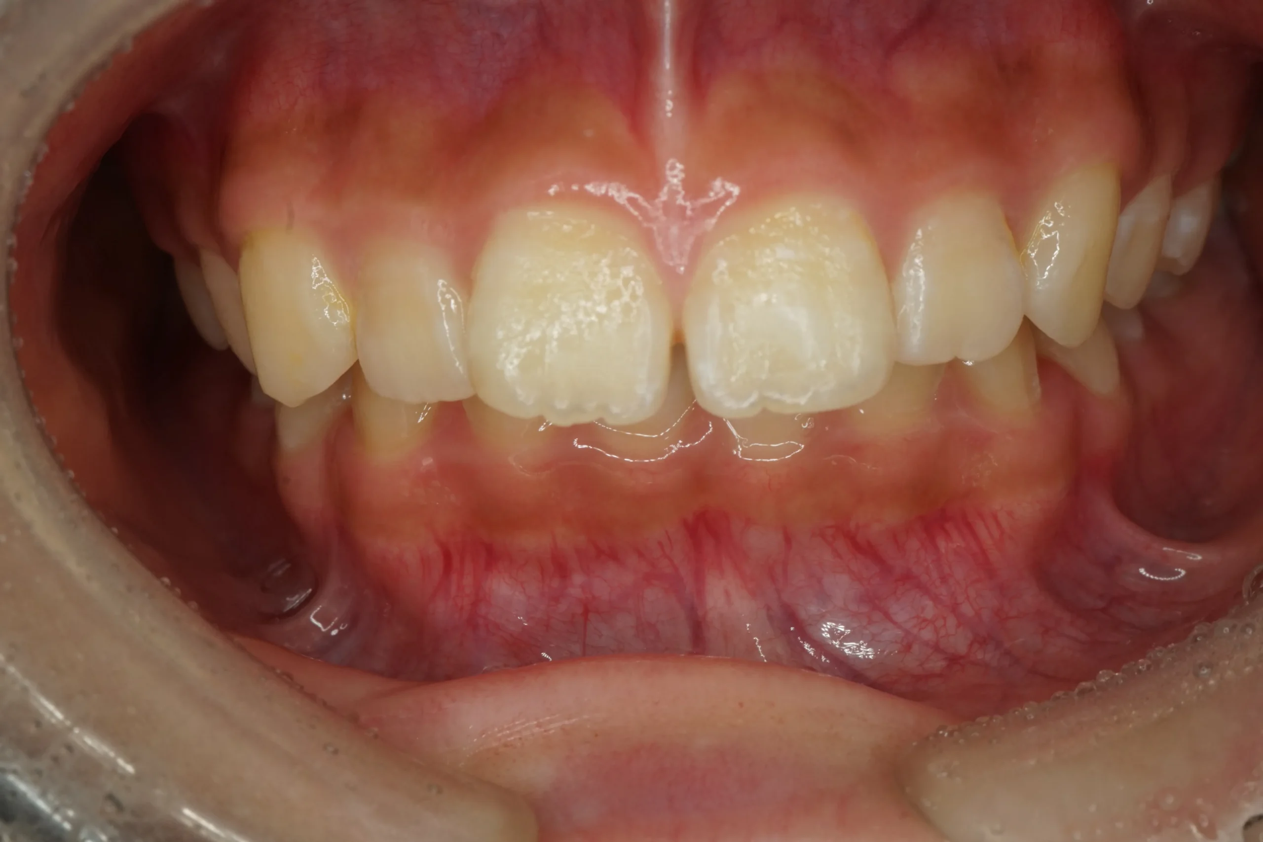
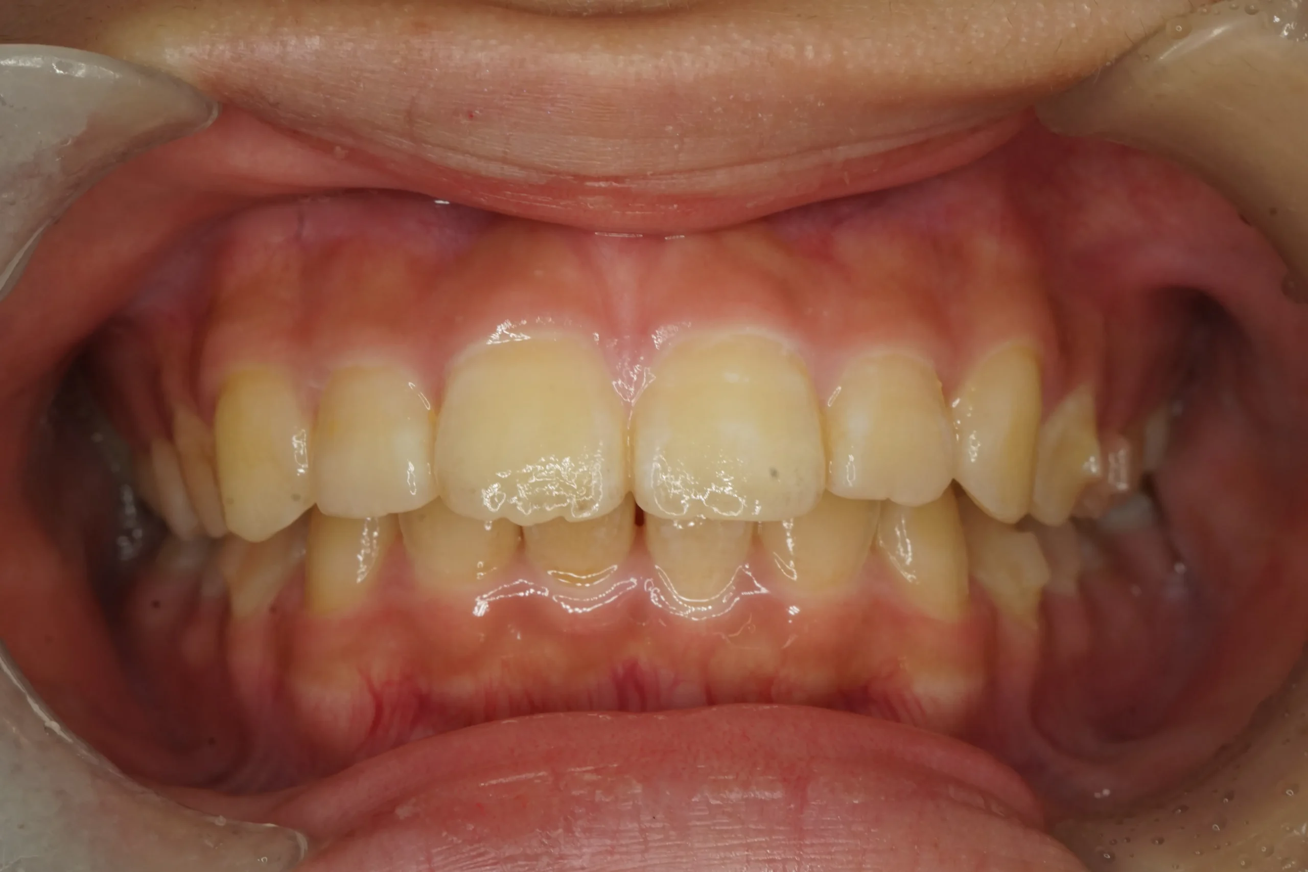
CASE 2前歯が噛み合わない
Before

After

- 治療回数
・期間 - 30代女性
- 執刀医
- Dr.小林
- 治療内容
- マウスピース矯正、データ採取、マウスピースの装着、経過のチェック、リテーナーの装着
- 治療回数
・期間 - 20回・2年ほど
- 費用
- ¥550,000〜¥770,000
- 治療に対する
リスク - 保険適用外の自由診療です。効果や感じ方には個人差があります。1日20時間以上の装着が必須です。矯正治療は新しいマウスピース交換時に痛みがでることもあります。矯正治療は必ず後戻りするためリテーナーが必要になります。
CASE 3全体的な歯並びの矯正
Before

After

- 治療回数
・期間 - 20代女性
- 執刀医
- Dr.小林
- 治療内容
- マウスピース矯正、データ採取、マウスピースの装着、経過のチェック、リテーナーの装着
- 治療回数
・期間 - 2年4ヶ月
- 費用
- マウスピース矯正
¥550,000〜¥750,000(税込)
- 治療に対する
リスク - 保険適用外の自由診療です。効果や感じ方には個人差があります。1日20時間以上の装着が必須です。矯正治療は新しいマウスピース交換時に痛みがでることもあります。矯正治療は必ず後戻りするためリテーナーが必要になります。
CASE 4全体的な歯並びの矯正
Before

After

- 治療回数
・期間 - 10代女性
- 執刀医
- Dr.小林
- 治療内容
- マウスピース矯正、データ採取、マウスピースの装着、経過のチェック、リテーナーの装着
- 治療回数
・期間 - 1年4ヶ月
- 費用
- マウスピース矯正
¥550,000〜¥700,000(税込)
- 治療に対する
リスク - 保険適用外の自由診療です。効果や感じ方には個人差があります。1日20時間以上の装着が必須です。矯正治療は新しいマウスピース交換時に痛みがでることもあります。矯正治療は必ず後戻りするためリテーナーが必要になります。
CASE 5全体的な歯並びの矯正
Before

After

- 治療回数
・期間 - 20代女性
- 執刀医
- Dr.小林
- 治療内容
- マウスピース矯正、データ採取、マウスピースの装着、経過のチェック、リテーナーの装着
- 治療回数
・期間 - 2年4ヶ月
- 費用
- マウスピース矯正
¥550,000〜¥750,000(税込)
- 治療に対する
リスク - 保険適用外の自由診療です。効果や感じ方には個人差があります。1日20時間以上の装着が必須です。矯正治療は新しいマウスピース交換時に痛みがでることもあります。矯正治療は必ず後戻りするためリテーナーが必要になります。
CASE 6全体的な歯並びの矯正
Before

After

- 治療回数
・期間 - 30代女性
- 執刀医
- Dr.小林
- 治療内容
- マウスピース矯正、データ採取、マウスピースの装着、経過のチェック、リテーナーの装着
- 治療回数
・期間 - 1年
- 費用
- マウスピース矯正
¥550,000〜¥650,000(税込)
- 治療に対する
リスク - 保険適用外の自由診療です。効果や感じ方には個人差があります。1日20時間以上の装着が必須です。矯正治療は新しいマウスピース交換時に痛みがでることもあります。矯正治療は必ず後戻りするためリテーナーが必要になります。
CASE 7全体的な歯並びの矯正
Before

After

- 治療回数
・期間 - 30代女性
- 執刀医
- Dr.小林
- 治療内容
- マウスピース矯正、データ採取、マウスピースの装着、経過のチェック、リテーナーの装着
- 治療回数
・期間 - 1年
- 費用
- マウスピース矯正
¥550,000〜¥650,000(税込)
- 治療に対する
リスク - 保険適用外の自由診療です。効果や感じ方には個人差があります。1日20時間以上の装着が必須です。矯正治療は新しいマウスピース交換時に痛みがでることもあります。矯正治療は必ず後戻りするためリテーナーが必要になります。
CASE 8下の前歯の歯並びの矯正
Before

After

- 治療回数
・期間 - 20代女性
- 執刀医
- Dr.小林
- 治療内容
- マウスピース矯正、データ採取、マウスピースの装着、経過のチェック、リテーナーの装着
- 治療回数
・期間 - 6ヶ月
- 費用
- マウスピース矯正
¥550,000〜¥620,000(税込)
- 治療に対する
リスク - 保険適用外の自由診療です。効果や感じ方には個人差があります。1日20時間以上の装着が必須です。矯正治療は新しいマウスピース交換時に痛みがでることもあります。矯正治療は必ず後戻りするためリテーナーが必要になります。
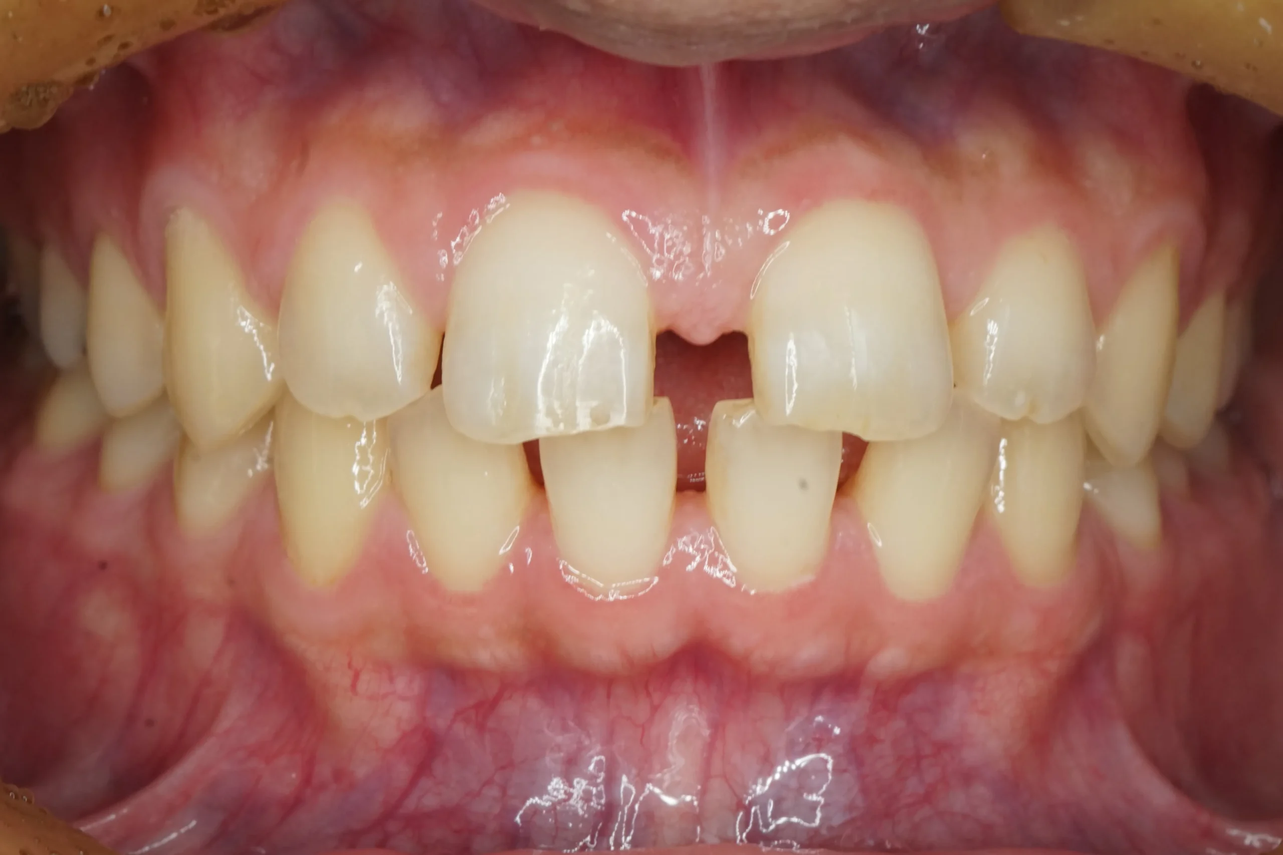
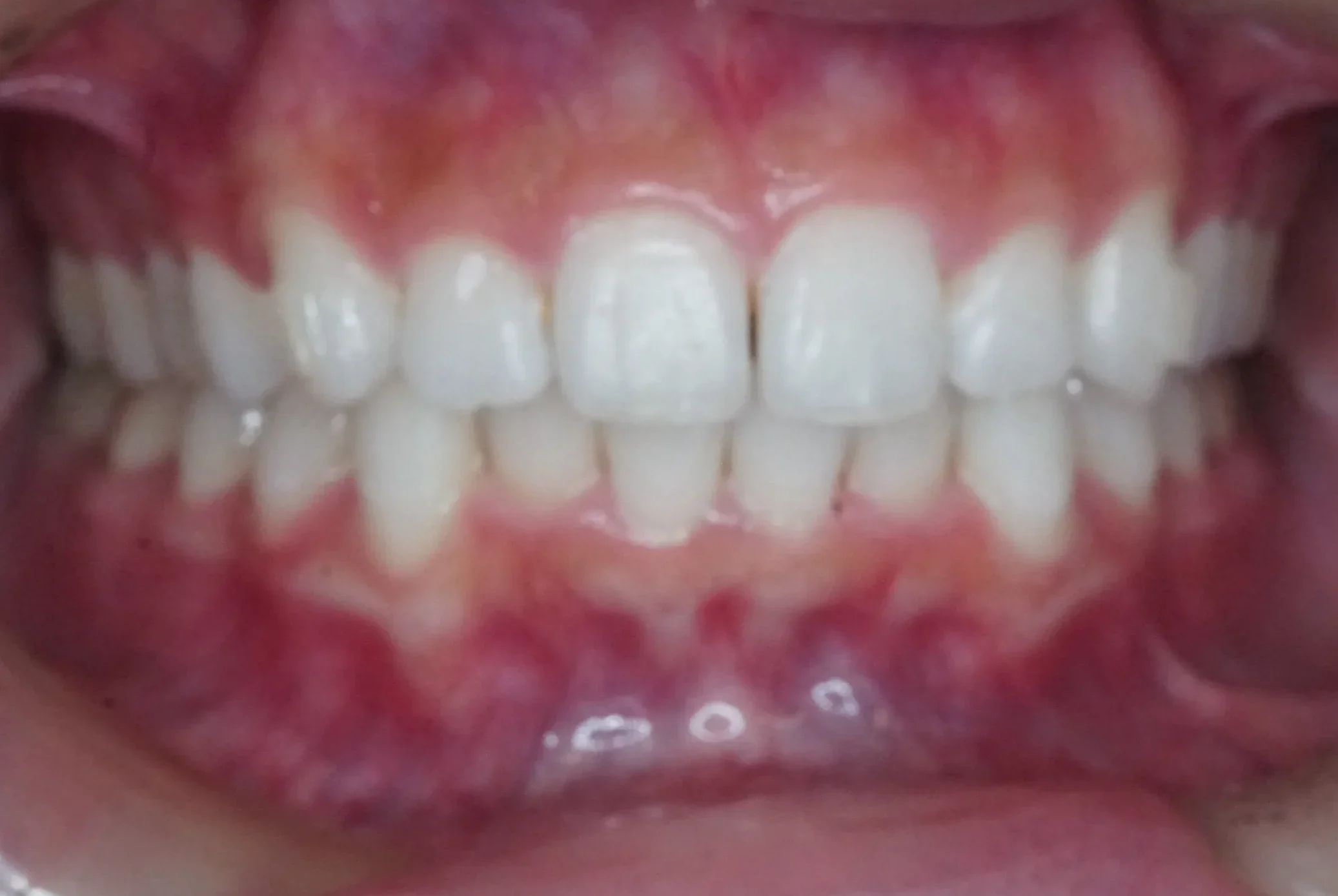
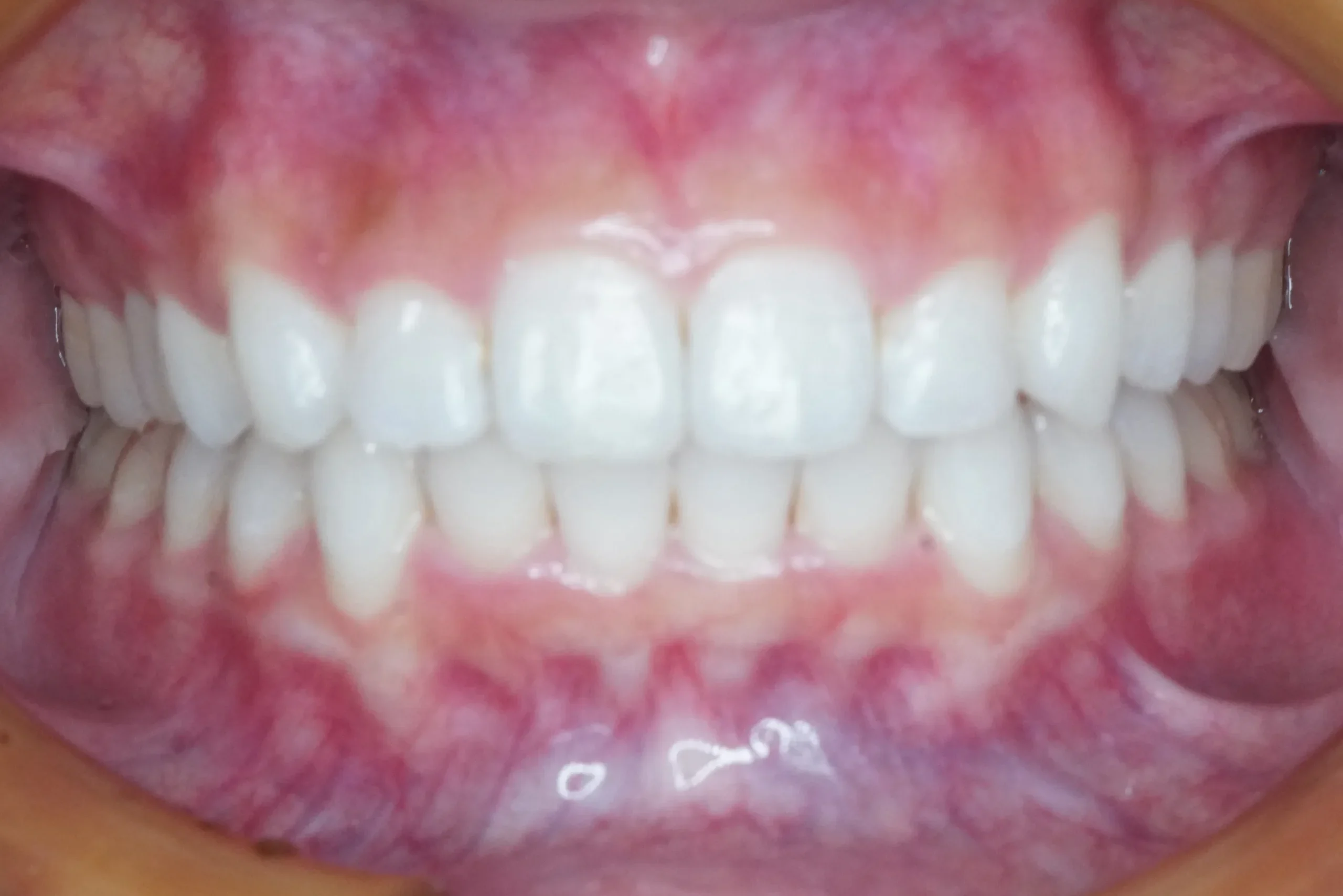
すきっ歯の方のシミュレーション
SureSmile

ココロデンタル恵比寿では
シロナ社の
シュアスマイルを使用しています
恵比寿の矯正歯科「ココロデンタル恵比寿」では、アメリカの医療機器メーカー「デンツプライシロナ社」が開発した、先進のデジタル矯正システム「SureSmile(シュアスマイル)」を導入しています。
従来のマウスピース矯正では、歯の表面の動きだけをシミュレーションするものが一般的でしたが、シュアスマイルは歯根や顎の骨の位置まで立体的に分析し、より精密な治療計画を作成できます。
また、当院では取得したCT・スキャナーのデータを専用ラボに送り、一人ひとりの歯や骨格に適切なマウスピースをオーダーメイドで製作を行い、より高い治療精度と快適性、フィット感が得られるシステムです。
SureSmile
シュアスマイルとは
シュアスマイルは、「精度」と「効率」に優れた、次世代のマウスピース矯正システムです。3D口腔内スキャナーとCTデータを組み合わせ、歯だけでなく歯根・骨格・神経の位置まで考慮したシミュレーションを実施。そのうえでAIと専門技工士のチェックを経て、精密な治療ゴールと段階的なマウスピースを設計します。
他の矯正システムと比べて、以下のような強みがあります
- 歯根の動きまで計算された立体シミュレーションにより、精度が高い
- 痛みの軽減・違和感の少なさなど、快適性にも優れている
- 歯ぐきまで覆う独自設計のマウスピースでフィット感が良く、ずれにくい
- 複雑な症例や抜歯が必要なケースにも対応できる柔軟性
- 歯の動きが効率的で、治療期間の短縮が期待できる
「装着しているのを忘れるくらい快適に、しかもきちんと動かせる」
そんな理想の矯正体験を、シュアスマイルなら叶えられます。
CONTACT
恵比寿駅徒歩1分の矯正歯科「ココロデンタル恵比寿」では、
初回カウンセリング・シミュレーションまで無料で受け付けております
最終的な矯正治療後のシミュレーションを作成するまで無料
当院ではカウンセリングをはじめ、レントゲン撮影や口腔内スキャナーなど利用してデータ化した上での治療計画の立案、
治療が終わったあとの状態が確認できるシュミレーションまですべて無料で行っております。
また、患者様がご納得されてから治療を開始しますので、ご安心してぜひ一度ご相談ください。
まずはお気軽に無料矯正カウンセリングへお越しください
※西麻布院でも治療できます
マウスピース矯正に興味がある方は、まず矯正相談へお越しください
FLOW
当院の治療の流れ
治療の流れ
マウスピースが出来上がるまでの
過程に完全密着!
治療計画〜マウスピース装着〜脱着まで
ココロデンタル恵比寿では、マウスピース矯正が初めての方にも安心していただけるよう、
精密検査から3D治療計画、治療完了まで、段階的に丁寧にご案内いたします。
※CT・スキャン・シミュレーションまではすべて無料です。
Flow01
精密検査・治療計画の準備
CT撮影や口腔内スキャナーを用いて、現在の歯並び・歯根・顎の骨・噛み合わせの状態を詳細に把握します。
取得したデータは、SureSmile(シュアスマイル)専用のデジタルラボへ送信し、治療計画の作成へと進みます。
Flow02
3D治療計画の作成(無料シミュレーション)
専用ソフトウェアで、患者様一人ひとりの口腔状態に合わせた3D治療計画を立案します。
矯正後の歯並びのシミュレーションを視覚的に確認できるため、治療のゴールを共有したうえで安心してスタートできます。
この段階まで無料でご提供しています。
Flow03
アライナー(マウスピース)の製作・納品
3D治療計画に基づき、オーダーメイドのマウスピース(アライナー)を製作します。
完成したアライナーは、医院に納品され次第ご案内いたします。
Flow04
アライナー装着・使用開始
アライナーを患者様にお渡しし、装着方法や注意事項をご説明します。
治療の進行に応じて、新しいマウスピースに段階的に交換していくことで、理想の歯並びへと導いていきます。
Flow05
定期診察と治療経過の確認
1〜3ヶ月ごとにご来院いただき、治療の進行状況やアライナーの適合を確認します。
必要に応じてマウスピースの調整や新しい装置の受け渡しを行います。
完全個室・平日21時まで診療で、通院しやすい環境を整えています。
Flow06
治療完了・保定期間へ
歯並びが整ったあとは、リテーナー(保定装置)を装着し、後戻りを防止します。
この保定期間中も定期的に経過を観察し、美しい歯並びを長く保てるようサポートします。
「一人ひとりにとって
本当に意味のある矯正治療を」
ココロデンタル恵比寿 理事長・院長
小林 弘樹
Hiroki Kobayashi
こんにちは。ココロデンタル恵比寿の院長、小林 弘樹と申します。
「ココロデンタル恵比寿」が大切にしているのは、「患者様が納得し、安心して受けられる矯正治療」をご提供することです。
マウスピース矯正は見た目が目立ちにくく、ライフスタイルに合わせて続けられる優れた治療法ですが、計画の精密さや治療の管理が何より重要です。
当院では、CTや3Dスキャンを活用した立体的で緻密な治療設計を行い、患者様の骨格や歯根の状態まで考慮した治療をご提案しています。
また、矯正治療を通じて「噛みやすくなった」「笑顔に自信が持てるようになった」
そんな前向きな変化を患者様と一緒に実感できることが、私たちの一番のやりがいです。
まずは不安や疑問を遠慮なくご相談ください。
患者様にとって本当に価値のある矯正治療を、誠実にご提案いたします。
略歴
- 2010年
- 日本大学歯学部 卒業
- 2010年
- 日本大学歯学部附属歯科病院 勤務
- 2011年
- 大崎シティデンタルクリニック 勤務
- 2013年
- 高輪クリニック 勤務
- 2015年
- 麻布シティデンタルクリニック 勤務
- 2017年
- ココロデンタル恵比寿 開院
- 2021年
- ココロデンタル西麻布 開院
PRICE
費用について
- 初診料・相談料
- 無料
- 検査・診断料
- 無料
- マウスピース型矯正歯科装置
(シュアスマイル) - 275,000円〜550,000円(税込)
- 観察料(通院ごと)
- 11,000円(税込)
お支払い方法について
現金
各種クレジットカード
デンタルローン
各種
オンライン・電子決済
- 保険診療
- 自費診療
各種キャッシュレス決済に対応しています

医療費控除について
1年間に10万円以上の医療費を支払った場合、納めた税金の一部が還付されます。
自分自身や家族のために、その年の1月1日から12月31日までの間に10万円以上の医療費を支払った場合、税務署へ確定申告することで、治療費の一部が戻ってきます。
領収書や通院の際にかかった経費の領収書などは大切に保管しておきましょう。
マウスピース型矯正装置(シュアスマイル)による
治療にともなう一般的なリスク・副作用について
-
ココロデンタル恵比寿で使用しているマウスピース型矯正装置「SureSmile」は、患者様一人ひとりに合わせて設計・製作される先進的な矯正装置ですが、以下のようなリスク・副作用が起こる可能性があります。治療をご検討の際には、必ずご確認ください。
- ・自由診療(保険適用外)のため、保険診療と比較して費用が高額になります。
- ・マウスピースは1日20時間以上の装着が必要です。装着時間が不足すると、計画通りの効果が得られない可能性があります。
- ・自分で取り外しができるため、紛失のリスクがあります。
- ・症例によっては、マウスピース矯正が適応できない場合があります。
- ・歯の動き方やお口の状態により、治療計画通りに進まないことがあります。
- ・装着したまま糖分を含む飲料を摂取すると、虫歯や歯周病のリスクが高まります。
- ・ごくまれに、歯根吸収や歯肉退縮が起こることがあります。
- ・食いしばりが強い方は、奥歯がうまく噛み合わなくなることがあります。
矯正終了後は、歯並びの後戻りを防ぐために保定装置(リテーナー)の装着が必要です。
未承認医療機器「SureSmile」の使用について
-
当院で採用している「SureSmile(シュアスマイル)」は、薬機法上、日本国内で承認されていない医療機器に該当しますが、海外では多くの臨床実績と安全性が確認されており、当院でも有効性を認めた上で導入しております。
- ・未承認医療機器であることについて
「SureSmile」は、薬機法上の国内承認を取得しておりません。 - ・入手経路について
当院では、米国デンツプライ・シロナ社より適正なルートで輸入し、使用しております。 - ・国内の承認医療機器との比較
「SureSmile」は、薬事承認された既製品や国内で製作された医療機器とは異なり、個別カスタマイズ型の矯正装置です。そのため、日本の医薬品医療機器法の対象外となっています。 - ・諸外国における使用状況・安全性
海外では20年以上にわたり矯正治療に使用されており、50万人を超える患者様に提供された実績(※2018年3月時点)があります。ただし、日本国内では安全性に関する詳細な情報が限られており、今後新たなリスクが報告される可能性も否定できません。 - ・医薬品副作用被害救済制度について
完成物矯正装置である「SureSmile」は、薬機法対象外であるため、万一副作用等が発生した場合でも、医薬品副作用被害救済制度の対象外となることがあります。
※当該未承認医療機器を用いた治療に関する記載内容は、法令に基づき掲載しております。内容の正確性・安全性に関する保証はいたしかねますので、あらかじめご了承ください。
- ・未承認医療機器であることについて
CLINIC
医院紹介
| 月 | 火 | 水 | 木 | 金 | 土 | 日 | 祝 | |
| 09:00-12:30 | ● | ● | ● | 休 | ● | ● | 休 | 休 |
| 14:00-18:00 | ● | ● | ● | 休 | ● | ▲ | 休 | 休 |
▲:土曜日の午後の診療は14:30~18:00となります。
休診日:木曜日・日曜日・祝日
| 医院名 | ココロデンタル恵比寿 |
|---|---|
| 住所 | 〒150-0021 東京都渋谷区恵比寿西一丁目9番7号 グランベル恵比寿WEST10F |
| TEL | 03-5428-4618 |
| アクセス | 恵比寿駅西口から徒歩1分 |
恵比寿で矯正歯科をお探しなら恵比寿駅西口徒歩1分
「ココロデンタル恵比寿」
平日21時・土曜18まで診療、恵比寿の矯正歯科(マウスピース矯正)
BACKGROUND
恵比寿の地域について
恵比寿という街で、
心から安心できる矯正治療を。
ココロデンタル恵比寿は、恵比寿駅西口から徒歩1分、グランベル恵比寿WESTの10階にある矯正歯科です。
都心でありながら落ち着いた雰囲気を持つ
恵比寿という街で、通いやすさとプライバシーを両立した矯正治療の環境を整えています。
お仕事帰りやお買い物の合間でも
通いやすいよう、
平日は21時まで、土曜も18時まで診療を行っており、ライフスタイルに合わせた通院が可能です。
また、全室完全個室でリラックスできる診療空間をご用意し、
矯正中のちょっとした不安や悩みも相談しやすい雰囲気を大切にしています。
恵比寿周辺にお住まいの方はもちろん、渋谷区・目黒区・港区など近隣エリアからも多くの患者様にご来院いただいています。
矯正を通じて、美しさと噛みやすさの両方を整えたいとお考えの方にとって、「通いやすく続けやすい矯正歯科」を目指しています。
お口の事でお悩みの方は、ぜひ一度「ココロデンタル恵比寿」までご相談ください。
Q&A
よくあるご質問
Q本当に検査やシミュレーションまで無料ですか?
-
A
はい。初回カウンセリングからCT・レントゲン撮影、口腔内スキャン、3Dシミュレーション作成まではすべて無料です。
費用が発生するのは、治療を正式にスタートする場合のみですので、まずはお気軽にご相談ください。
Q矯正装置は1日どのくらい装着する必要がありますか?
-
A
基本的には1日20時間以上の装着が推奨されています。食事や歯磨きの際には取り外しが可能ですが、それ以外の時間はできるだけ長く装着することで、計画通りの効果が得られやすくなります。
Q痛みはありますか?
-
A
マウスピース矯正はワイヤー矯正に比べて痛みが少ないと言われています。治療の初期やアライナーの交換時に軽い違和感や圧力を感じることはありますが、多くの方が数日で慣れています。また、SureSmileでは歯の動きが計算されているため痛みも最小限に抑えられます。
Q治療後に歯並びが戻ってしまうことはありますか?
-
A
矯正治療後は、歯が元の位置に戻ろうとする「後戻り」が起きることがあります。これを防ぐため、治療完了後はリテーナー(保定装置)の装着が必要です。保定期間中も定期的に経過を確認し、美しい歯並びを長くキープできるようサポートします。
CONTACT
恵比寿駅徒歩1分の矯正歯科「ココロデンタル恵比寿」では、
初回カウンセリング・シミュレーションまで無料で受け付けております
最終的な矯正治療後のシミュレーションを作成するまで無料
当院ではカウンセリングをはじめ、レントゲン撮影や口腔内スキャナーなど利用してデータ化した上での治療計画の立案、
治療が終わったあとの状態が確認できるシュミレーションまですべて無料で行っております。
また、患者様がご納得されてから治療を開始しますので、ご安心してぜひ一度ご相談ください。
まずはお気軽に無料矯正カウンセリングへお越しください
※西麻布院でも治療できます
マウスピース矯正に興味がある方は、まず矯正相談へお越しください



